The Meinig School newsletter is published once a year.
Feature Stories
-
BME 20: Meinig School celebrates two decades of biomedical engineering at Cornell
In September we celebrated twenty years of biomedical engineering at Cornell with a two-day event alongside the dedication of our brand new teaching space in Tang Hall on the engineering quad. The event included talks from the Meinig School’s three directors, founder Michael Shuler (2004-2014), Marjolein van der Meulen (2014-2024), and Claudia Fischbach-Teschl (2024-), alumni panel discussions and presentations on the School’s future directions.
-
Undergraduate Senior Design Caps Off the Year
The senior design showcase is the culminating event of the undergraduate degree. Students produce and screen a video of their project and take questions from their peers and Meinig School faculty and guests.
-
M.Eng. Industry Engagement Day and Project Showcase Builds Connections
Eighth-annual day-long event held in Weill Hall brought students together with faculty, alumni and professional attendees to connect with the breadth of talent in the school’s M.Eng. program. This year a number of clinicians from Weill Cornell Medicine also attended.
-
BMES Graduate Student Chapter: Fostering Community, Professional Growth and Outreach
Cornell Biomedical Engineering Society’s (BMES) Graduate Chapter is dedicated to nurturing a vibrant and supportive community within our biomedical engineering department. They strive to create an inclusive environment that enriches the graduate student experience, enhances professional development, and actively engages with the local community.
Research Highlights
-
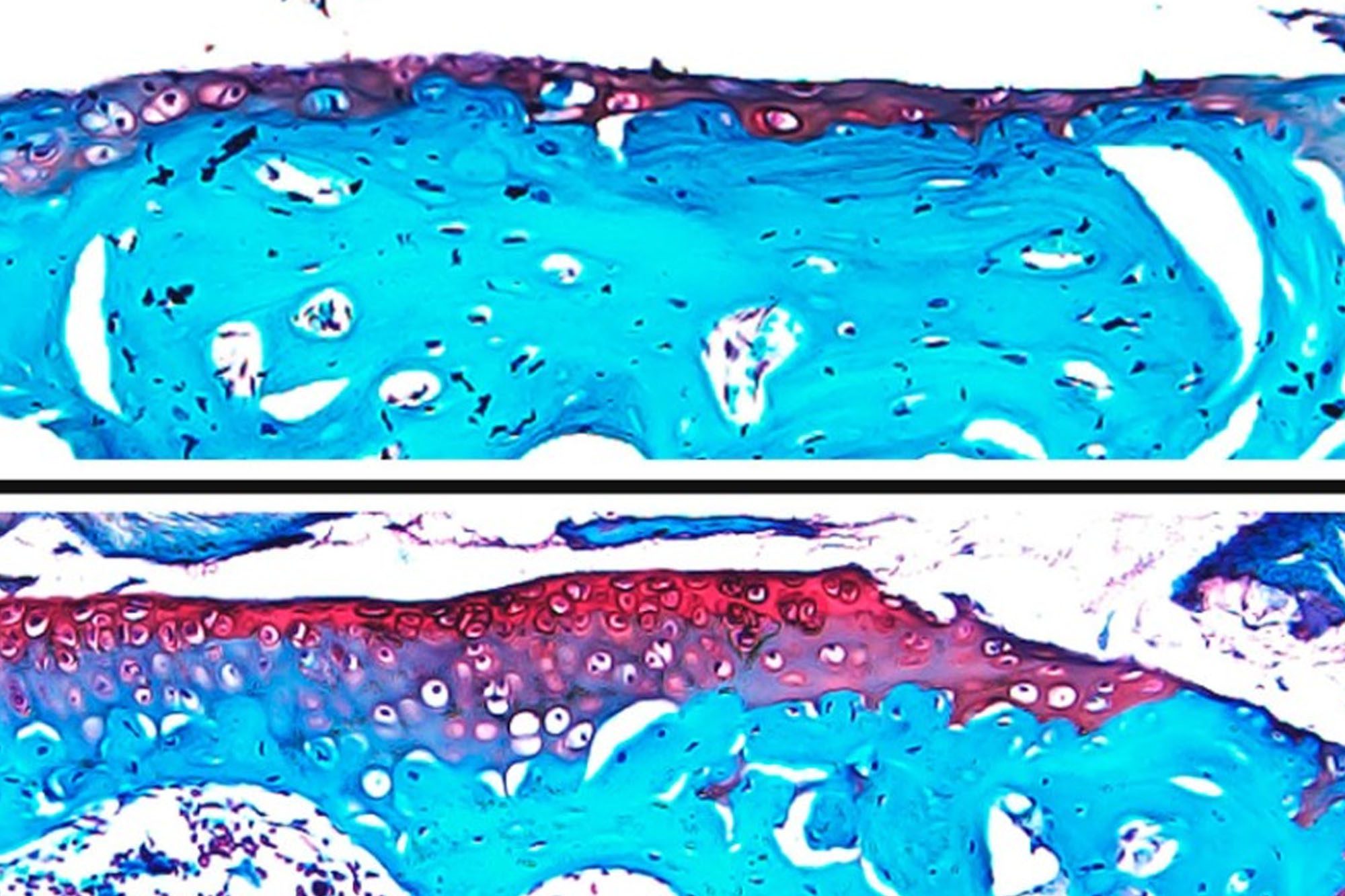
Lewis Lab investigates intriguing role of osteocytes in bone health
A special type of cell, called an osteocyte, may hold the key to some of the mysteries of osteoporosis. A research group led by Karl Lewis, assistant professor of biomedical engineering, is studying osteocytes in unique new ways.
-
Consortium identifies 5 grand challenges in biomedical engineering
A consortium of 50 university researchers, including from Cornell Engineering, has established five grand challenges in biomedical engineering, which it said will lay the foundation for a concerted effort to achieve technological and medical breakthroughs.
-
Gene expression atlas captures where ovulation can go awry
An interdisciplinary collaboration used a cutting-edge form of RNA tagging to map the gene expression that occurs during follicle maturation and ovulation in mice, an approach that could lead to therapeutic treatments for infertility.
-
Global trends of antibiotic-resistant genes
Antibiotic resistance is threatening a public health crisis, but genes that resist antibiotics lurk in the human microbiome. In order to understand the spread of antibiotic resistance worldwide, researchers in the Brito lab investigated these genes in microbiomes throughout the…
-
Precision laser surgery cuts focal epileptic seizure spread
An interdisciplinary Cornell research team has developed a new surgical technique that blocks the spread of focal epileptic seizures in the brain by making precise incisions with femtosecond laser pulses.
-
Decadal survey sets agenda for biological, physical sciences in space
The National Academies’ latest decadal survey, “Thriving in Space,” released Sept. 12, provides a roadmap for biological and physical sciences research, from the low orbit of Earth to the surface of Mars, through 2033.
-
Researchers produce grafts that replicate the human ear
Using state-of-the-art tissue engineering techniques and a 3D printer, researchers at Weill Cornell Medicine and Cornell Engineering have assembled a replica of an adult human ear that looks and feels natural.
-
Diagnostic tool identifies puzzling inflammatory diseases in kids
A Cornell-led collaboration developed machine-learning models that use cell-free molecular RNA to diagnose pediatric inflammatory conditions that are difficult to differentiate.
News and Events
-
Excellence ascending: Engineering’s women leadership at historic high
For the first time in Cornell Engineering’s history, every school and department currently has, or will soon have, a woman faculty member on the college’s executive leadership team. The milestone comes as the college celebrates the 140th anniversary of its first woman engineer.
-
New grants support student involvement in community projects
Faculty, staff and community partners are working together to address community needs — and they’re getting students involved with support from Engaged Opportunity Grants from the Einhorn Center for Community Engagement.
-
Student group adapts toys, devices for kids with disabilities
The Big Red Adaptive Play and Design Initiative has brought independence and joy to local children with disabilities – and has created space for the engineering of assistive technologies at Cornell.
-
Rising Stars in Engineering in Health
The Meinig School was honored to co-host the annual Rising Stars in Engineering in Health workshop at Cornell, September 22-23, 2023.
-
Symposium on engineering in cardiovascular health, disease, and treatment
Cross campus symposium unites researchers, engineers and clinicians around cardiovascular disease.
-
International conference on bioinspired and zwitterionic materials
In July, professor Shaoyi Jiang organized and hosted the 5th International Conference on Bioinspired and Zwitterionic Materials (ICBZM) at Cornell. The event brought together experts working on zwitterionic materials, bioinspired materials, naturally occurring materials, biomaterials, and polymeric/peptide materials to provide…
-
Celebrating 20 years of Biomedical Engineering at Cornell
In September we celebrated twenty years of biomedical engineering at Cornell with a two-day event alongside the dedication of our brand new teaching space in Tang Hall on the engineering quad. The event included talks from the Meinig School’s three directors, founder…
-
Five Years Out: Welcoming back the class of 2019
Members of the Class of 2019 (with faculty) visited for reunion and shared stories and smiles at Weill Hall this past June.
New Faculty
-
Addressing clinical needs in kidney and women’s reproductive health
Kayla Wolf joins the Meinig School as an assistant professor in spring 2025.
-
Translating innovative health technologies from concept to market
Suélia de Siqueira Rodrigues Fleury Rosa joins the Meinig School as a senior lecturer.
Students
-
Service to science: Two veterans find purpose in neuroscience
After service in the military, Chris Brunkhorst and Caleb Jones sought new outlets to channel their discipline and their commitment to helping others – and they both found it in neuroscience.
-
Giving forward, giving back: a degree with impact on cancer patients and future researchers
Ph.D. Student Shola Onissema-Karimu on a degree with impact
New Staff
-
Welcome Derrick Barrett
Derrick Barrett joins as finance lead, working closely with faculty and staff to develop financial reports and forecasts.
-
Welcome Samantha Gluck
Sam Gluck joins as assistant to the director, providing administrative support to the director and director of administration.
-
Welcome Eva Collier
Eva Collier joins as undergraduate coordinator, helping undergraduates navigate the requirements of the major.